Chapter 5 – redundant myelin
There is evidence to show that myelin continues to be formed throughout life, so that on average myelin sheaths in old monkeys are thicker than those in young ones. This especially true of the sheaths of large diameter nerve fibers.
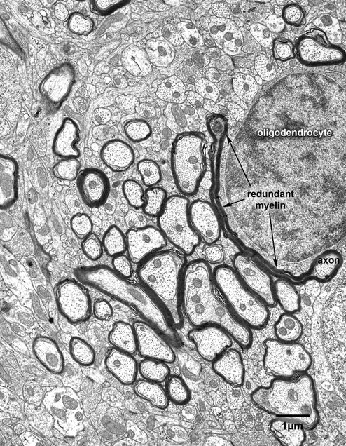
The presence of nerve fibers with redundant myelin may also be the result of continued formation of myelin. In sections of such nerve fibers the axon is to one side of a myelin sheath, which is much too large for the size of the enclosed axon, so that the redundant myelin loops off to one side of the nerve fiber (Figs. 5.1 –5.3). Nerve fibers with redundant myelin are present in both young and old monkeys, but the cause of the redundant myelin, and why it forms, is unknown.
Figure 5.1
An axon with a redundant myelin sheath in the primary visual cortex of a 35 year old monkey. The thin myelin sheath is much too large for the enclosed axon.
Figure 5.2
An axon with a redundant myelin sheath in a nerve fiber bundle in layer 4 of the primary visual cortex of a 19 year old monkey. The redundant sheath is lying adjacent to the cell body of an oligodendrocyte.
Figure 5.3
An axon with a redundant myelin sheath in layer 4 of the primary visual cortex of a 30 year old monkey. The redundant sheath is lying adjacent to the cell body of an oligodendrocyte.
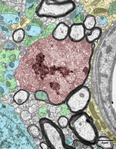
Figure 5.3A
A copy of the above micrograph in which some of the elements have been colored. Axon of redundant sheath- dark green; axon terminals- light green; dendrites- blue; astrocytes- yellow; oligodendrocyte- red; dendritic spines- grey.



