Chronic traumatic encephalopathy (CTE) is a progressive degenerative disease of the brain found in people with a history of repetitive head impacts (RHI) often incurred during contact sport play, military service, employment as a first responder, and other activities that involve repeated blows to the head. These may include symptomatic concussions as well as nonconcussive hits that do not cause symptoms. Nonconcussive hits are routine in many sports, including checking in ice hockey and heading the ball in soccer. CTE has been known to affect boxers since the 1920’s (when it was initially termed punch drunk syndrome or dementia pugilistica).
In recent years, reports have been published of neuropathologically confirmed CTEfound in other athletes, including football and hockey players (playing and retired), as well as in military veterans who have a history of repetitive brain trauma. CTE is not limited to current professional athletes; it has also been found in athletes who did not play sports after high school or college.
The repeated brain trauma triggers progressive degeneration of the brain tissue, including the build-up of an abnormal protein called tau in a unique pattern. The pattern of tau seen in the brains of those with CTE is distinct from other neurodegenerative diseases such as Alzheimer’s disease (AD), progressive supra nuclear palsy (PSP), and corticobasal degeneration (CBD). These changes in the brain can begin months, years, or even decades after the last brain trauma or end of active athletic or military involvement.
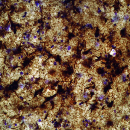
In both sets of photographs below, the brain tissue has been immunostained for tau protein, which appears as a dark brown color.
Tau immunostained sections of the medial temporal lobe from 3 individuals:
Whole brain section from a 65 year old control subject showing no tau protein deposition.Whole brain section from John Grimsley showing abundant tau protein deposition in the amygdala and adjacent temporal cortex.Whole brain section from a 73 year old world champion boxer with severe dementia showing very severe tau protein deposition in the amygdala and thalamus.
Microscopic section from 65 year old control subject showing no tau protein deposition.Microscopic section from John Grimsley showing numerous tau positive neurofibrillary tangles and neurites in the amygdala.Microscopic section from a 73 year old world champion boxer with severe dementia showing very severe tau protein deposition in the amygdala and thalamus.
What is TES?
Chronic traumatic encephalopathy (CTE) is a neuropathological diagnosis and traumatic encephalopathy syndrome (TES) is the proposed clinical syndrome of CTE.
Substantial exposure to repetitive head impacts (RHI)
Presence of at least one core clinical feature: cognitive impairment (in memory or executive function) or neurobehavioral dysregulation
There is a progressive course
The core clinical feature(s) are not fully accounted for by other disorders
If TES criteria are met, level of certainty of underlying CTE neuropathology (no, suggestive, possible, probable) can be determined based on the extent of exposure to RHI, and the presence of certain core and supportive clinical features, as well as dementia status. At this time, the TES criteria are for research purposes only and should not be used in the clinic.
How do you get CTE? Can I get CTE from one concussion/hit to the head?
CTE is caused by repetitive brain trauma. This trauma includes both concussions that cause symptoms and non-concussive hits to the head that cause no symptoms. At this time the number or type of hits to the head needed to trigger degenerative changes of the brain is unknown. In addition, it is likely that other factors, such as genetics, may play a role in the development of CTE, as not everyone with a history of repeated brain trauma develops this disease. However, these other factors are not yet understood.
What is a concussion?
A concussion has occurred any time you have had a blow to the head that caused you to have symptoms for any amount of time. You do NOT need to have lost consciousness to have a concussion. These symptoms include blurred or double vision, seeing stars, sensitivity to light or noise, headache, dizziness or balance problems, nausea, vomiting, trouble sleeping, fatigue, confusion, difficulty remembering, difficulty concentrating, or loss of consciousness. A concussion has also occurred when a person gets a “ding” or gets their “bell rung.”
I recently had a concussion. Do I have CTE?
The symptoms of CTE generally do not present until years or decades after the brain trauma occurred or after one stops actively playing contact sports. While most concussion symptoms resolve within a few weeks, the symptoms can last for months or, in severe cases, even years. When this occurs, it is called post-concussion syndrome (PCS). Post-concussion syndrome is different than CTE, and the symptoms of post-concussion syndrome usually resolve years or decades before the onset of CTE symptoms. If you believe you are suffering from either an acute concussion or post-concussion syndrome, contact your physician. For more information on concussions, including support groups for PCS patients and caregivers, visit the Concussion Legacy Foundation’s Concussion Resources. For more information on physicians in your area who work with those suffering from brain trauma, please use the Concussion Clinics search tool.
If I have the symptoms of CTE, do I have the disease itself?
Just because you have some or many of the symptoms associated with CTE does not necessarily mean that you have the disease itself. There are many possible causes of these types of symptoms. If you are having difficulties, you should speak with your primary care or specialist physician. Many of the symptoms can be successfully treated.
How is CTE diagnosed?
At this time, CTE can only be diagnosed after death by postmortem neuropathological analysis. Right now there is no known way to use MRI, CT, PET, SPECT, or other brain imaging methods to definitively diagnose CTE. In addition, there are no known blood or spinal fluid tests for CTE. The CTE Center is actively conducting research aimed at learning how to diagnose CTE during life. Find out more about our research here.
Can I be evaluated at the BU CTE Center?
The BU CTE Center is a research group. At this point in time we do not offer continuing clinical care. The best first step, if you are seeking clinical evaluation, is to speak to your primary care physician. For more information on physicians in your area who work with those suffering from brain trauma, please use the Concussion Clinics search tool. Many of our clinical research studies include evaluations. However, these are not intended to replace routine or specialized medical care. Please review our actively recruiting studies and email studycte@bu.edu if you are interested in participating in our research. Additionally, please see our Resources page for more information on CTE, clinical care, and support.
Can you refer me to a doctor?
Unfortunately, we are a research center, and do not provide continuing medical care. We do not maintain a comprehensive list of doctors across the country who are familiar with brain injury and CTE. However our collaborators at the Concussion Legacy Foundation can assist if you reach out to their HelpLine. They have staff dedicated to connecting individuals with medical and community resources specific to brain injury and CTE. Additionally, please see our Resources page for more information on CTE, clinical care, and support.
Can CTE be cured? What can I do if I think I have CTE?
Unfortunately, at this time there is no cure for CTE. However, the CTE Center is currently conducting ongoing clinical research aimed at discovering how CTE develops and progresses, risk factors for the development of the disease, and how to diagnose the disease during life. Symptoms such as depression and anxiety can be treated individually. If you believe you or a loved one may have CTE, please read through the Living With CTE page and talk with your physician. For more information on physicians in your area who work with those suffering from brain trauma, please use the Concussion Clinics search tool. Additionally, the Concussion Legacy Foundation hosts support groups for those with suspected CTE.
What’s the difference between CTE and Alzheimer’s disease (AD)?
The tau pathology in CTE is distinct from other tauopathies, including Alzheimer’s disease (AD). CTE pathology begins in the cortex and doesn’t spread to the medial temporal structures until stage III, whereas AD pathology starts in the medial temporal structures and doesn’t spread to the cortex until stage III/IV.
What can I do to help/how can I become involved in research?
Thank you for your interest in helping with our research. If you would like to pledge to donate your brain, please sign up using this link. We encourage individuals, with and without head trauma, to sign up. Being a brain donor is similar to being an organ donor, and the procedure is done in such a way that the donor may have an open casket if desired. BU CTE Center personnel understand that this is a difficult time for the family of the donor, and they work hard to make the donation process as easy as possible for the family. For more information visit our FAQ on brain donation. If you would like to participate in clinical research, please review our recruiting studies and reach out to the appropriate study coordinator. If you would like to make a donation, including in memoriam, we are grateful for your generosity. Our research is funded through grants and generous gifts.
Do I have to be a high level amateur or professional athlete to participate in your research?
No. The CTE Center welcomes male and female athletes of all sports and levels to participate in our research. Although some studies are restricted to specific sports and levels, other studies are open to anyone with a history of participation in organized sports or military service.
Can I participate in the Brain Donation Registry?
Yes, we encourage individuals, with and without head trauma, to sign up. When enrolling, you may also indicate whether you want to be informed about recruiting clinical studies. If you have questions about brain donation, please reach out to BU CTE Center Research Program Manager Sophia Nosek (snosek@bu.edu). For questions regarding your Brain Donation Registry Card, please be advised that we are in the process of transitioning to digital brain donor cards. No new physical brain donor cards will be mailed out at this time. We look forward to introducing you to our new brain donor card experience in the coming months. Thank you for your patience and continued support of brain donation and clinical research. Please email cardrequest@concussionfoundation.org for more information.
Can I participate in the LEGEND study?
The enrollment period for the LEGEND Study has closed. However, our new online study, HITSS, aims to understand the long-term effects of soccer and tackle football on later life brain health, with annual, remote follow-up.
How do I join your database of tissue recovery specialists?
Thank you for your interest in working with us. Please review our Brain Donation for Professionals page and send your resume, rates, and references to Sophia Nosek (snosek@bu.edu).
I am a funeral director with a family interested in brain donation, how can I facilitate this?
Thank you for your interest in working with us. Please review our Brain Donation for Professionals page and call our 24/hour brain donation voicemail/pager at 617-992-0615 to discuss the process with the on-call coordinator.