Figure 4.7A
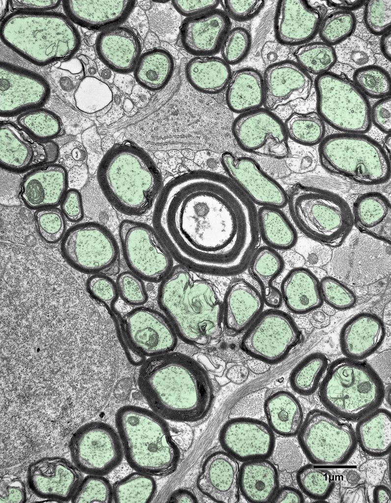
Fig. 4.7A. A copy of the electron micrograph shown in Fig.4.7 with some color added. The myelinated axons are colored green. An empty myelin sheath in the fornix of a 20 year old monkey. A few fragments of the axon remain, but other wise the myelin sheath is empty, because the axon has degenerated. In these situations, splitting of the myelin sheath is common, especially for degenerating large diameter nerve fibers.
