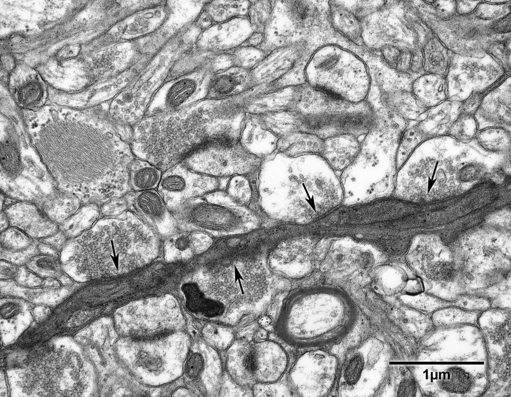
Figure 2.6
Fig. 2.6. A shrunken and dark dendrite in layer 4 of primary visual cortex in a 25 year old monkey. Even though it is dark and shrunken, the profile can be discerned to be of a dendrite because it is still forming synapses with four axon terminals (arrow). Such dark and shrunken processes are generally considered to arise from neurons that are degenerating, although dark neurons can be produced by poor fixation. In the latter situation there is generally evidence of poor preservation in the surrounding neuropil, which is not the case in this example.
