Figure 13.1A
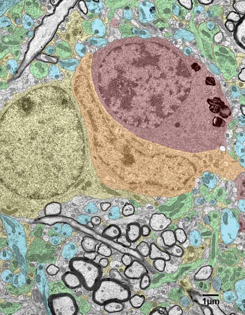
Fig 13.1A. A colored version of Fig.13.1. Three neuroglial cells in layer 4 of the primary visual cortex of a l6 year old monkey. The cell on the right is an oligodendrocyte, with the characteristic dark cytoplasm and nucleus. Next to the oligodendrocyte is an oligodendrocyte precursor cell and on the right an astrocyte. Astrocytes and oligodendrocytic precursors have similar features. Both are irregular is shape and their contours fit to the surrounding neuropil, but while the nuclei of astrocytes have rounded profiles, the nuclei of the precursor cells have irregular outlines. Another difference is that the mitochondria of the precursors cells are smaller than those of astrocytes, and the precursor cells never have filaments in their cytoplasm.
Oligodendrocytic precursor- orange; Oligodendrocyte- red; Astrocyte- yellow; neuronal cell bodies and dendrites- blue; dendritic spines-grey; axon terminals- green.
