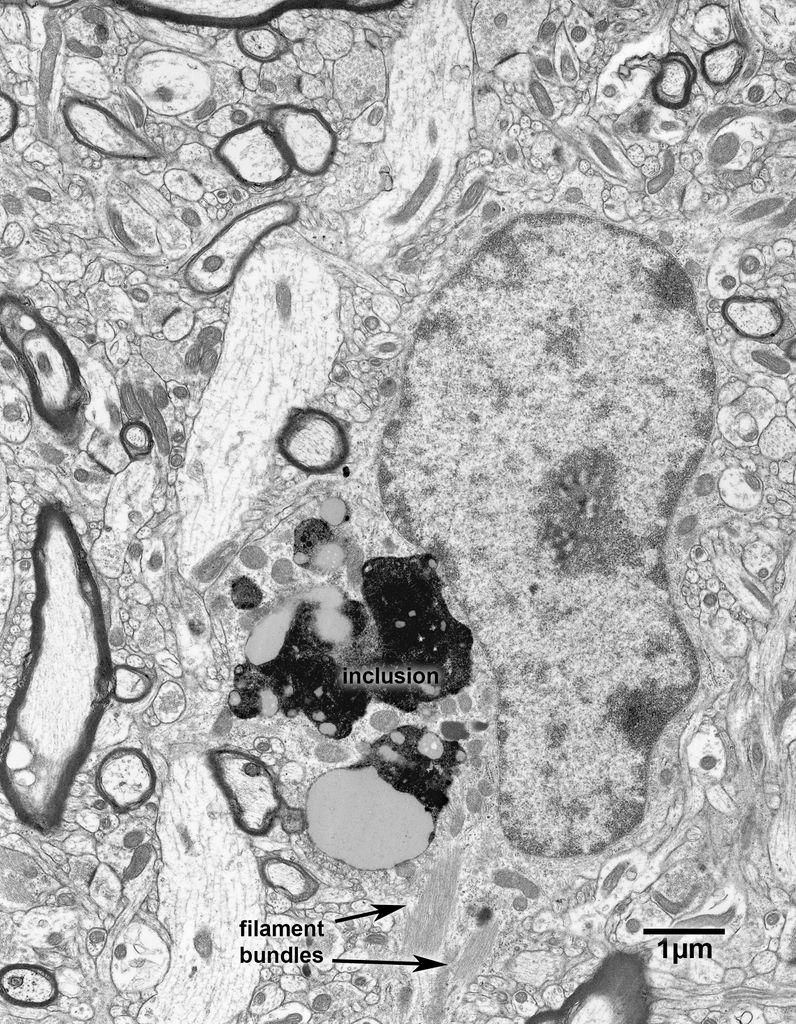
Figure 11.4
Fig.11.4 An astrocyte in layer 5 of the visual cortex of a 35 year old monkey. This astrocyte has an irregularly shaped nucleus and has some filaments (arrows) in its cytoplasm, which also contains a large amount of phagocytozed material. The typical amorphous nature of the phagocytozed material gives no clue as to its origin.
