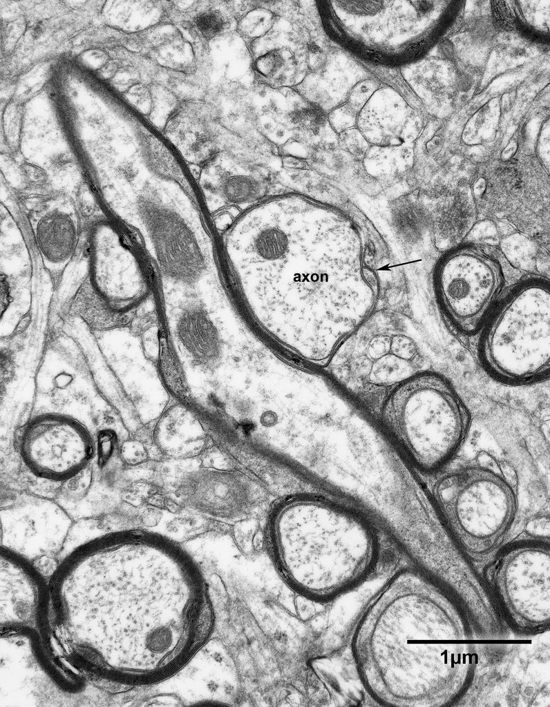
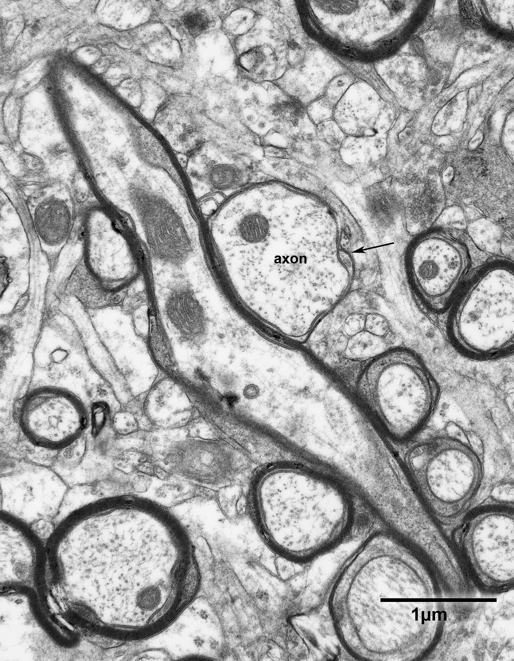
Figure 8.3
Fig. 8.3. An axon bundle in layer 4 of the primary visual cortex of a 25 year old monkey. One of the axons (axon) is surrounded by a sheath that is only one lamella thick, suggesting that it is in the process of remyelinating. The arrow shows the site where the two ends of the process come together.
