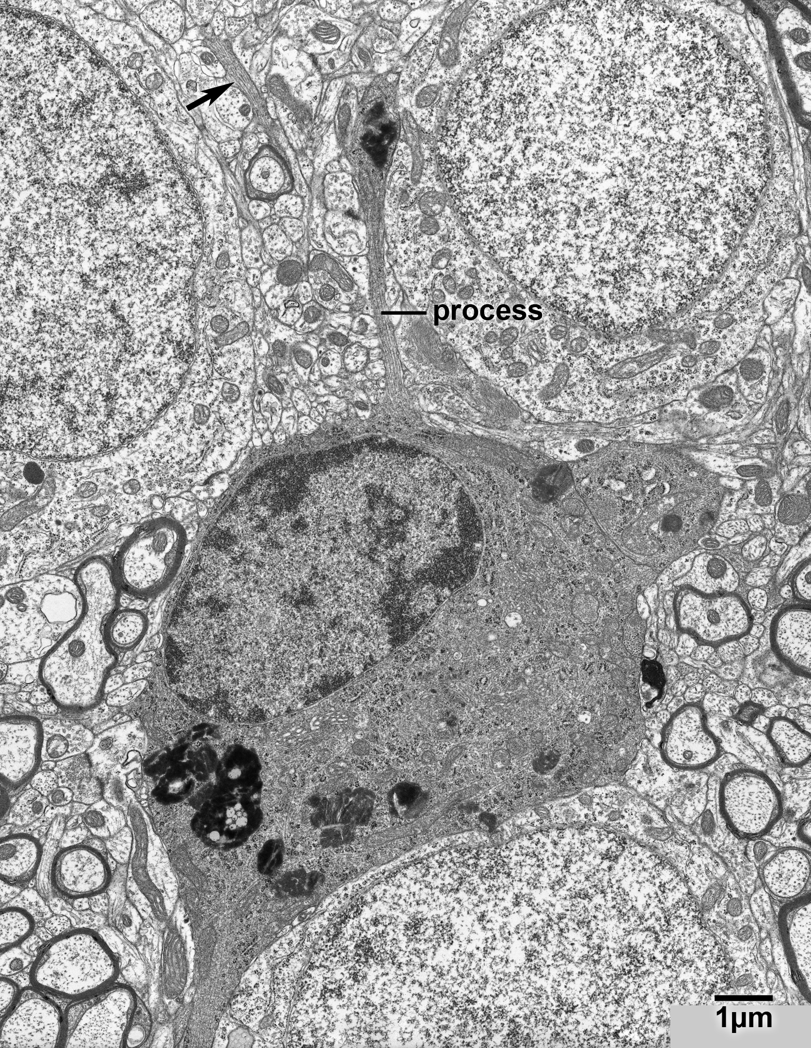
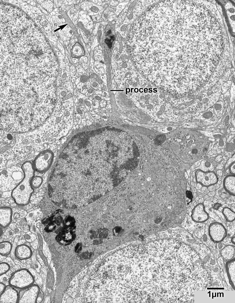
Figure 12.6
Fig. 12.6. An oligodendrocyte in layer 4 of the primary visual cortex of a 35 year old monkey. Note the long thin process extending from this cell. Such processes connect the oligodendrocytes to their internodal lengths of myelin. The profiles of such processes can be recognized, and distinguished from the profiles of axons, by their electron dense cytoplasm and their closely packed microtubules.
